Breaking news and analysis on politics, business, world national news, entertainment and more.
12+ Endometriosis Mri Images Gif
12/02/2020 00:00
12+ Endometriosis Mri Images Gif. It may attach to the ovaries, fallopian tubes, the exterior of the uterus, the. It manifests in three ways;
3-tesla MRI sheds light on shading sign in endometriosis from www.auntminnie.com
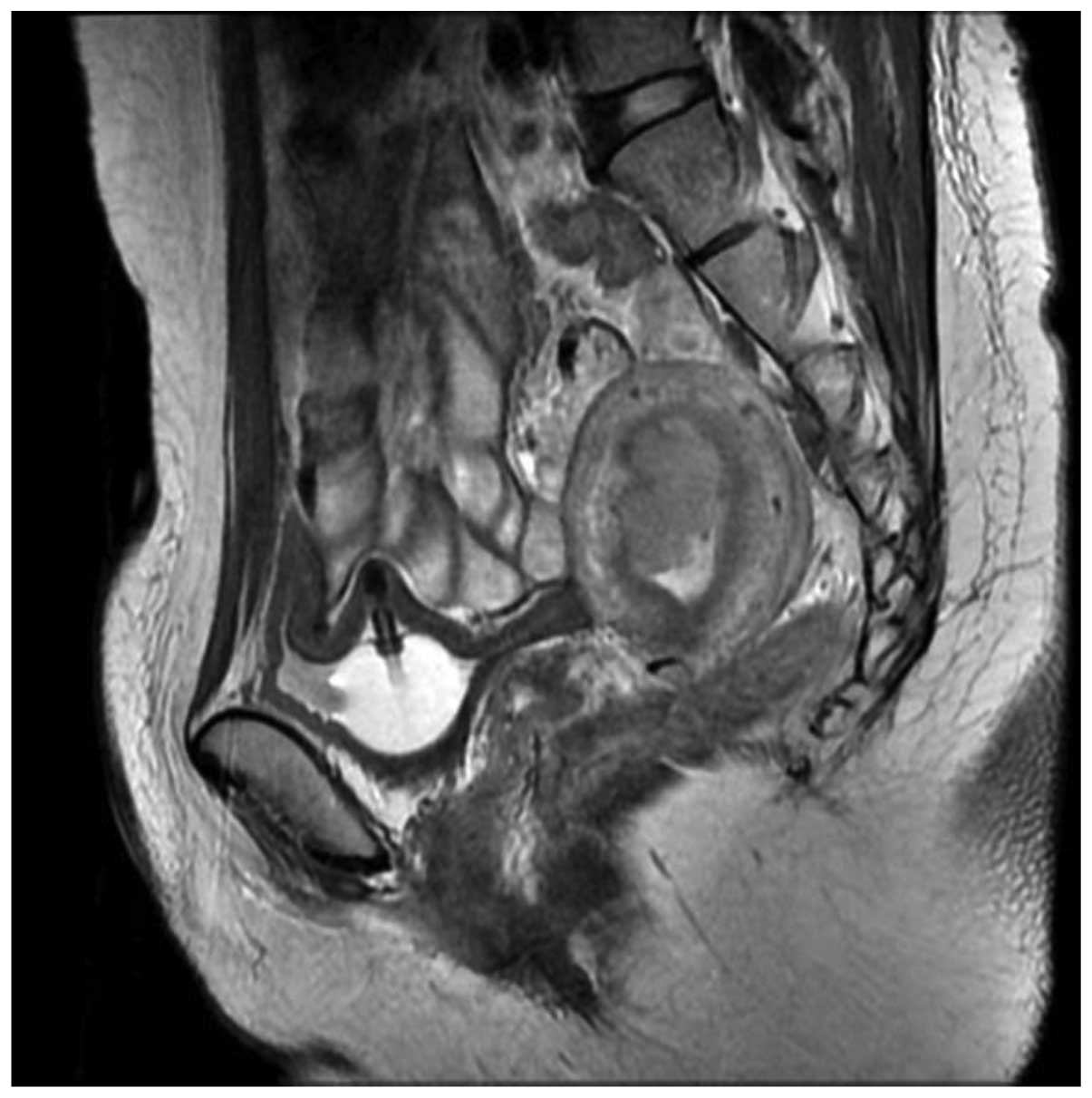
Like ultrasound, magnetic resonance imaging (mri) is an. Endometriosis is an abnormal growth of endometrial cells found in the uterus. Endometriosis is a benign disorder characterised by proliferation of endometrial tissues outside the endometrial cavity.
.in understanding endometriosis (national institute of biomedical imaging and bioengineering).
Uterus appears bulky for age and retroverted in position. It manifests in three ways; Sign up for the my medlineplus newsletter what's this? The resulting images might help your doctor identify endometriomas, or chocolate cysts. mri scans are another type of imaging technique that can help diagnose endometriosis.