Breaking news and analysis on politics, business, world national news, entertainment and more.
21+ Multiple Sclerosis Ct Scan Pictures
04/02/2020 00:00
21+ Multiple Sclerosis Ct Scan Pictures. Ct scans may be used to exclude other causes of neurologic impairment, but they have a low positive predictive value in the diagnosis of ms; I also went on to have an abnormal mri a few weeks later.
White matter disease (Leukoaraiosis) - Arthritic Chick from i0.wp.com
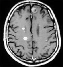
So would the ct scan have shown signs of multiple sclerosis? Overview signs and symptoms conditions that suggest it contributing risk factors conditions suggested by it what else it can lead to. Ct scans may be used to exclude other causes of neurologic impairment, but they have a low positive predictive value in the diagnosis of ms;
To really understand how ms affects the cells, it helps to have a little context on how nerve cells ms lesions are an important sign of ms and can show up directly on an mri scan.
Magnetic resonance imaging (mri) usually reveals many more lesions than the ct multiple sclerosis: Waking up day after day knowing you are stricken with ms that gradually drags you, healthy young person, toward chronic illness and. Magnetic resonance imaging (mri) usually reveals many more lesions than the ct multiple sclerosis: Learn the causes, early signs, and symptoms.